ΕΓΧΡΩΜΟ DOPPLER

image-301893-doppler-main.jpg

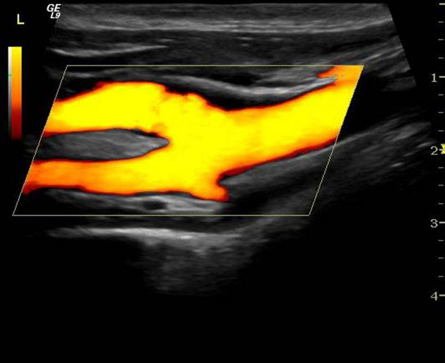
Έγχρωμο doppler (triplex) αρτηριών και φλεβών
Οι κακές διατροφικές συνήθειες, το κάπνισμα, η έλλειψη γυμναστικής και η κληρονομική προδιάθεση προκαλούν αλλοιώσεις τόσο στο αρτηριακό όσο και στο φλεβικό δίκτυο.


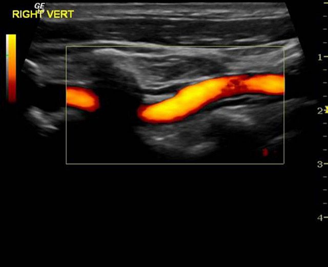
Το υπερηχογράφημα duplex έγχρωμης ροής ή αλλιώς το triplex συνδυάζει τις πληροφορίες της συμβατικής υπερηχογραφικής απεικόνισης ενός αγγείου και τις πληροφορίες εξέτασης της ροής στο αγγείο με Doppler. Επίσης, με την εξέταση αυτή ο ιατρός βλέπει πώς ρέει το αίμα στο αγγείο και μετρά την ταχύτητα ροής. Έτσι, μπορεί να ελέγξει την πορεία του αγγείου, να υπολογίσει το μέγεθός του και το βαθμό στένωσής του, αν υπάρχει.

Στο Κέντρο Ψηφιακής Ακτινογραφίας Παπαγιαννοπούλου Χρυσάνθη Μ.Ι.Κ.Ε. πραγματοποιούμε Έγχρωμο doppler (triplex):​ 

  • Αρτηριών και Φλεβών άνω και κάτω άκρων
  • Καρωτίδων και σπονδυλικών αρτηριών
  • Κοιλιακής Αορτής
  • Λαγόνιων Αγγείων
  • Σπληνοπυλαίου άξονα