ΨΗΦΙΑΚΗ ΥΠΕΡΗΧΟΓΡΑΦΙΑ

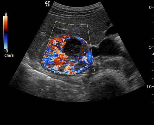
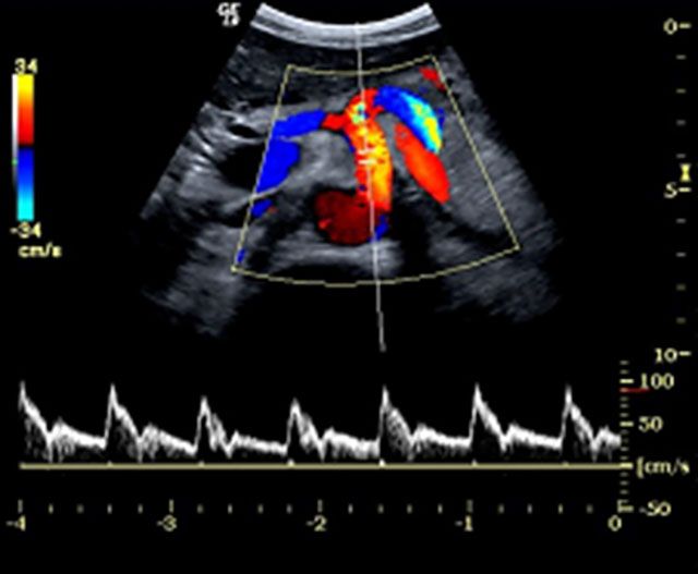
Το κέντρο διαθέτει τον υπερηχογράφο το LOGIQ E9 XDclear R6 του οίκου GE HEALTHCARE καθώς και το Siemens Acuson 2000. Το Siemens Acuson 2000 είναι εξοπλισμένο με ηχοβόλο κεφαλή active array, συχνότητας 6.0-18 MHz, η οποία έχει ειδική ανατομική κατασκευή για τη μελέτη του μαστού και real και static time 3D (στατική τρισδιάστατη απεικόνιση) και 4D (ζωντανή τρισδιάστατη απεικόνιση σε πραγματικό χρόνο).
 
Η τεχνολογία Matrix που ενσωματώνεται στην ηχοβόλο κεφαλή M12L επιτυγχάνει εστίαση και επεξεργασία της υπερηχογραφικής εικόνας σε τρεις διαστάσεις, για υψηλή ακρίβεια τομής, ευκρίνεια και ποιότητα εικόνας στις εξετάσεις μαστού, θυρεοειδούς και λοιπών επιφανειακών οργάνων.

Με τη χρήση της κεφαλής αυτής επιτυγχάνεται ο εντοπισμός και διάγνωση μικρών όγκων, καθώς και η ανίχνευση ανώμαλων νεόπλαστων αγγειακών δομών. Ενσωματώνει τη μοναδική επαναστατική πλατφόρμα υπερηχοτομογραφίας Truscan, η οποία καθιστά δυνατή την αποθήκευση των αυθεντικών ακουστικών δεδομένων (digital raw data) για πλήρη και πραγματική μεθ’ επεξεργασία των διενεργούμενων εξετάσεων, ώστε να δίδεται η δυνατότητα στον ιατρό να μελετά διεξοδικά τις υπερηχογραφικές εικόνες σε δεύτερο χρόνο, χωρίς να επιβαρύνεται και να ταλαιπωρείται ο ασθενής.

Στο Κέντρο Ψηφιακής Ακτινογραφίας Παπαγιαννοπούλου Χρυσάνθη Μ.Ι.Κ.Ε., στη Ρόδο, γίνονται υπέρηχοι:

  • Θυρεοειδούς
  • Τραχηλικής χώρας
  • Ήπατος
  • Χοληδόχου κύστης
  • Παγκρέατος
  • Σπλήνος
  • Νεφρών
  • Προστάτου
  • Μήτρας
  • Ωοθήκων
  • Επιφανειακών οργάνων
  • Μαστού

Η υπερηχοτομογραφία είναι μια απλή και ανώδυνη εξέταση των μορφολογικών αλλοιώσεων των οργάνων του σώματος.